记得著名的医学教育家威廉·奥斯勒曾经说过一句话:“发热、饥荒和战争是人类的三大敌人,而其中发热是最大的敌人。”对于临床医生而言,发热是最令人头痛的临床症状,有时查来查去都没有结果。在病例讨论中,发热待查是最烧脑的猜谜游戏;在《诊断学》的第一篇中,发热也稳坐第一节。今天我要结合最近遇到的两个有趣的发热病例,带你认识药物热。

(图片引自网络)
病例一
患者性别:女
患者年龄:27岁
简要病史:因“发现肝功能异常2年,加重3天”于2020年06月08日入院。
现病史:患者2年前体检发现肝酶升高,具体报告不详,口服护肝药治疗(具体不详)。2年来患者一直口服护肝药,定期复查肝功能,肝酶水平一直偏高。3天前患者复查肝功能,肝酶指标较前明显升高(具体报告未见),遂来我院门诊就诊,查B超提示脂肪肝,为求进一步诊治,门诊“肝功能不全”收治入院。
既往体健。
体格检查:体温:36.5℃ 脉搏:104次/分 呼吸: 20 次/分 血压: 126/90mmHg 。神志清,精神可,皮肤巩膜正常,颜面皮肤无浮肿,浅表淋巴结未及肿大。两肺呼吸音清,罗音未闻及。心律齐,心音中等,心脏杂音未闻及。腹部外形平坦,无压痛及反跳痛,腹部血管杂音未闻及,移动性浊音阴性,肝浊音界正常,腹肌软,肝脏肋下未及,脾脏肋下未及,异常包块未触及,肛门指诊阴性。Murphy征阴性,麦氏点压痛阴性,肾区叩痛阴性,下肢浮肿未见,病理征未引出。
辅助检查:2020-6-9血常规 白细胞总数4.2*10^9/L,中性粒细胞57%,淋巴细胞34.4%,血红蛋白 85g/L,红细胞 3.47*10^12/L,血小板229*10^9/L;
生化类检查:门冬氨酸氨基转移酶 71U/L,葡萄糖 3.85mmol/L,β-*丁酸羟** 900μmol/L,总胆固醇 2.64mmol/L,C-反应蛋白 8.6mg/L,其余均正常;
凝血功能4项+D二聚体、IgG4、免疫五项(IgG、IgM、IgA、C3、C4)、HbA1c(糖化血红蛋白)、抗胰岛素抗体(IAA)、女肿瘤五项、乙肝三系定性、甲状腺五项、自身免疫性肝病抗体:正常。
磁共振胰胆管成像(MRCP):未见明显胰胆管扩张。
心超:正常。
胸部CT:正常
临床诊断:肝功能不全待查
治疗经过:入院后给予硫普罗宁联合丁二磺酸腺苷蛋氨酸护肝;患者第一个星期病情平稳;2020-6-17出现夜间发热,最高体温39.8度,无畏寒寒战、咽痛,无咳嗽咳痰,腹痛腹泻、尿急尿痛。6.19~6.22加用头孢他定;6-22停头孢他定,改用莫西沙星+奥司他韦。

上面三张图分别是第一、二、三周的体温单
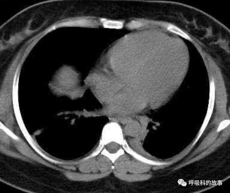
患者发热后行胸部CT检查(6月21日,住院第13天),可见两下肺有条片影,当时斟酌是肺炎引起的发热。

在患者发热期间查降钙素原 0.09ng/ml(正常范围0-0.5ng/ml);
以下分别是血白细胞、CRP和转氨酶的变化曲线:

EB病毒抗体四项 EB病毒衣壳抗体(IgG) 阳性(1:10),EB病毒核抗体(IgG) 阳性(1:10);
结核抗体(IgM+IgG)阴性 ;
呼吸道感染病原体IgM抗体:肺炎支原体IgM 阳性,其余均阴性。
血液TBNK(6月22日)

可是在6月26日(往院第18天)仍持续发热的情况下复查肺部CT,肺部病灶已明显吸收了。那么患者发热的原因到底是什么呢?为什么患者高热的情况下血白细胞不升反降,C反应蛋白也没有明显增高?这个时候消化科医生也迷茫了,这可怎么办?于是请感染科和呼吸科医生一起会诊,共商计策。

我和感染科的黄文豹医生在分析了整个过程,也到病人床边了解一下情况,发现患者发热有一些规律:(1)患者发热多在傍晚和夜间出现,也就是输液的时候不发热,输液结束后才出现发热;(2)患者有时候会使用吲哚美辛退热,但也有几天没用药,但是同样会在第二天清晨自动退热;(3)患者虽然高热多日,但精神状态良好,只有发热时伴有全身酸痛感,没有平时感染性发热病人那种乏力倦怠的表现。
基于这样的规律,加上没有发现感染部位,我们一致判断患者发热的原因是药物热。由于抗菌素是在发热后使用的,且莫西沙星和头孢类药物很少引起药物热,于是真正的凶手应该是在入院后就使用的硫普罗宁或者丁二磺酸腺苷蛋氨酸,在查阅大量文献后,我们认定就是硫普罗宁引起的药物热。
因此我们建议将所有的药物停用,观察体温变化情况,第二天患者体温恢复正常,一直保持到出院。

这一次住院经历真是让人难忘,而我们在遇到不明原因的发热一定要掌握良好的临床思维和细致的观察,才能明确诊断,正确的处理。