不得不说,当咱们中国爹娘还对熊孩子的*品毒**教育不以为意或是讳莫如深时,大洋对岸的米国父母已经开始雇佣缉毒犬了!
沾染*品毒**,避免孩子*毒涉**!
米国青少年吸毒问题日渐显著,父母们能觉察出自家孩子不在状态,但又苦无找不到证据,于是乎抓住商机的米国公司开设禁毒心理辅导,四处招聘队伍军人,还训练了一批*品毒**嗅探犬,强势对抗熊孩子们的各种中二藏毒手法。

在米国你需要支付99美元。雇一只缉毒犬去寻找蛛丝马迹,在中国,你只需要收下鲍医生的锦囊妙计!
吸毒有害身体健康是大家都只知道的,但究竟有多恐怖呢?那就得从毁容说起,面部溃烂及牙齿脱落是最显而易见的。
首先,*毒冰**被视为毁容破坏力最强的*品毒**,它会导致面部出现大面积溃烂。滥用一些处方药物也会导致类似的后果,比如阿片类药物奥施康定、*洛因海**会引发大面积红色皮疹。
*卡因可**能够抑制食欲,导致整个人极速或长期消瘦。*头丸摇**会引发剧烈的牙痛,伴随牙床溃烂。长期吸食*麻大**会破坏胶原蛋白,导致早衰。
男性 32岁 2008年——2014年吸毒面部变化

女性 35岁 十年吸毒面部变化

男性 42岁 2003年——2007年吸毒面部变化

*品毒**自从它出现的那一天起危险就永远伴随了吸毒的人形体消瘦、脸色灰黄、体质衰弱声音哑颤生活失衡,精神颓废,不讲卫生*毒冰**滥用对全身都会造成严重后果 包括我们的口腔!!!!!!
吸毒危害很多种
今天单说“烂牙”
根据《中国药物依赖性杂志》2003年12期第4卷《注意及预防吸毒劳教人员罹患骨质疏松症》一文,上海市第二劳动教养管理所对在所劳教人员进行问卷调查及走访,调查显示,牙齿脱落的有182例,占调查总人数的36.79%,其中牙齿脱落1-3颗的135例(占有牙齿脱落总数的74.2%),脱落4颗以上的45例(33.3%),口腔内仅剩1-2颗的就有2例(1.1%)。

人体中99%的体钙存在于骨骼和牙齿中,这部分钙与骨质疏松关系最为密切。长期使用滥用*品毒**可使内源性钙和尿钙丢失,加速负钙平衡,并增加人体对于钙的需要量,因此容易发生骨质疏松。
*品毒**可对口腔粘膜和牙齿造成多重损害,*品毒**直接刺激上呼吸道粘膜形成粘膜的溃疡,造成口腔内菌群失调,出现牙龈出血等严重的炎症,进而牙龈萎缩、牙齿松动,严重影响咀嚼功能。
吸毒刺激口腔黏膜上皮细胞异常增生,导致黏膜角质角质层逐渐增厚,对骨骼系统、免疫系统都造成危害,导致牙周病发生几率特别高,增加口腔感染的风险,长期刺激口腔黏膜还会增加罹患口腔癌的机会。
吸毒也会造成口气重,影响交际,造成牙根暴露、牙齿松动等慢性炎症,抑制免疫功能!
“吸食*品毒**”对牙齿的危害!
1
*品毒**对牙齿有腐蚀功能
*品毒**大多数为酸性物质,长期吸食*品毒**首先会导致牙齿的酸蚀。此类损害与碳酸饮料造成的损害性质基本相同,由于每日都有吸食*品毒**,因此危害更大,可造成短时间内牙齿的侵蚀。
2
*品毒**引起牙齿松动
吸毒者自身免疫功能下降,牙周病发病率大幅提升,是不吸毒的10倍以上!口腔内环境失衡,牙菌斑更易在牙齿表面堆积,加速牙周炎的进展。可导致短时间内牙齿松动脱落。
3
*品毒**导致龋齿的多发
长期吸食*品毒**会导致唾液分泌减少,牙菌斑的长期堆积,也会导致龋齿的发生几率增加。
4
*品毒**引起夜磨牙的发生
*品毒**能够控制神经系统,焦虑、狂躁、失眠、思维混乱、幻觉、震颤抽搐、头颈摇摆不停等异常兴奋。睡眠时引起夜磨牙的发生,加速牙齿的磨耗。
5
*品毒**可引起碳酸饮料的渴求
吸食*品毒**容易导致口干,需大量饮水。碳酸饮料如可乐等含有咖啡因,非常合适吸毒者的口味。这也加重了牙齿的酸蚀。

*毒冰**牙的第一阶段出现龋齿口臭牙龈红肿
*毒冰**牙的第二阶段嘴唇上出现伤口牙龈开始退缩龋齿呈严重趋势
*毒冰**牙的第三阶段龋齿发展到牙龈边缘以下牙齿出现缺失嘴唇的伤口越发明显

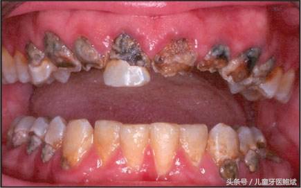
所以牙齿的损伤,也成了辨别吸毒人群的一个要点。无论吸食传统*品毒**还是新型*品毒**,对吸毒人员的牙齿损害都非常大,长期使用*品毒**会直接导致牙齿大面积变黑或是缺损脱落。这点跟长期吸烟的人较类似,但*品毒**对牙齿的损害更为严重,速度更快。
所有*品毒**,一旦染上便很难戒掉,希望大家关注身体健康,远离*品毒**,享受快乐生活。
珍重生命,远离*品毒**!!!珍重生命,远离*品毒**!!!珍重生命,远离*品毒**!!!