科学护牙,请关注公众号:yzkqkp

什么是龋齿?
龋齿是口腔最常见的疾病之一,俗称蛀牙,更加通俗的描述就是在牙齿上出现了小洞、大洞,甚至大面积的牙体缺损。
如果没有引起足够重视会引起多种令人头痛的后续问题,所谓小洞不补,大洞吃苦。

龋齿的原因
口腔中的细菌能够在牙齿表面堆积形成牙菌斑生物膜,其中的致病菌分解唾液中的糖产酸,酸会破坏牙齿,形成龋洞。

此时龋洞需要进行充填,否则会继续被侵蚀,导致牙神经损伤甚至牙神经死亡,感染或发生脓肿。因此,牙神经损伤需要进行根管治疗。
致龋菌和口腔内无害菌很相似,所以很难将其全部消除。因此,龋齿的预防尤为重要。

龋齿的发展
1白斑

牙垢沉积在牙齿表面,牙齿表面珐琅质被牙垢中的细菌消化糖后,排泄出来的酸溶解,就发生脱矿了。
牙齿中的钙减少了,色泽就变成*粉白**笔色(白琧)感觉了。

2釉质龋

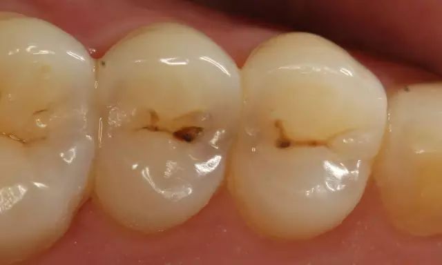
脱矿没有及时修复,牙齿表面开始缺损,就成为我们说的蛀牙、牙洞了。
早期的龋齿患者是没有感觉的,因此容易出现拖延,导致错过治疗的最佳时期。


3牙本质或牙骨质龋

随着龋坏的发展,逐渐出现喝冷热水或者进食时敏感不适。

4深龋
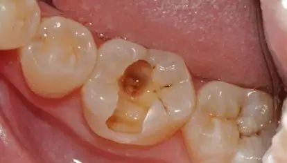
此时如果不及时治疗龋坏,将继续向深层牙体组织发展,就会出现遇冷遇热疼痛,之后形成明显龋洞。
当有食物进入龋洞后常导致患牙疼痛,此时已发展为深龋,换言之,龋洞已经很深,洞底与牙神经之间的距离已经非常近。

5牙髓炎

如果此时依然没有及时治疗,龋坏里的细菌会入侵牙神经。
这会导致:牙神经发炎,牙齿出现自发疼痛,并且逐渐加剧,重者夜间睡眠受到影响,需要口含冷水才能使疼痛稍有缓解。
此时,疾病的名称为牙髓炎。

6根尖周炎

疾病至此,如果患者仍旧未及时治疗,牙神经内的细菌会继续向深层入侵,到达牙根的根尖区域,此时称为根尖周炎。
患牙的自发疼痛减弱,牙根区域出现跳痛,牙齿咬合疼痛,并出现患牙伸长浮起的感觉。
龋齿的治疗

1牙齿的早期龋齿(白斑时期),能够通过日常使用含氟牙膏、护牙素,定期看牙医进行涂氟来进行修复。
2在龋坏未累及牙神经时,单纯的补牙就足以解决问题。

3如果疾病发展到牙髓炎甚至根尖周炎,则需要进行根管治疗后做全冠保护牙齿,从而达到保存功能性牙齿的目的。

根管治疗需要复诊2-3次,间隔一周。患者为此所付出的时间、精力、财力相比较单纯补牙增加许多。
龋齿的预防
适当的营养、良好的口腔卫生、少吃零食、全口或局部使用氟化物及窝沟封闭,都能够减少患龋齿的风险。
-
营养——少吃糖(如蔗糖)能有效减少有害细菌的数量。足够的钙、磷、维生素ACD能促进健康的牙釉质形成。
-
口腔卫生——刷牙有助于减少牙菌斑对牙釉质的损害,使用牙线或牙间刷能有效清理牙缝。
如果饭后不能立刻刷牙和使用牙线,应该把自洁食物放最后吃,如苹果和芹菜能帮助清除牙齿上的食物残渣和牙菌斑。
-
少吃零食——每吃一次零食都会让牙齿受到一次“酸攻击”,因此少吃零食能减少牙齿受到“酸攻击”次数。
-
氟化物——在牙齿萌出时口服氟(加氟片或含氟水)能加强牙釉质和牙本质的发育(需斟酌当地饮水含氟情况,医生指导下服用)。
由牙医局部涂氟能填补不成熟牙釉质和早期的龋坏,减少龋齿的出现。
-
窝沟封闭——用于填补后牙咀嚼面的沟缝点隙,能有效预防龋齿,乳牙和易发生龋齿的恒牙都建议进行窝沟封闭,方法简单,无痛,无需麻醉。
但已经有蛀牙的牙齿表面无法再进行窝沟封闭。

龋齿的预防是重中之重,
其次要做到早发现早治疗。
相关科普文章
more...
-
蛀牙误解大解析
-
牙齿白斑的克星——护牙素(附使用方法)
-
根管治疗那点事儿(一)
-
根管治疗那点事儿(二)
-
根管治疗一定要做冠吗?
配图 | 网络
参考文章 | 《什么是龋齿》(牙医Chris)
编辑&排版 | 牙医麻麻Debbie
葉子口腔科普·网上讲堂:新妈妈口腔保健必修课
报名地址:https://kdt.im/MPeqpr
