
专栏主编
穆士卿
穆士卿,男,医学博士,主任医师,副教授。首都医科大学硕士研究生导师。
北京医学会神经介入学组委员,中国研究型医院学会脑血管病学专业委员会委员。目前主要从事神经系统血管性疾病的临床诊断及介入治疗,每年进行诊治颅内动脉瘤、脑血管畸形、颈动脉海绵窦瘘、硬脑膜动静脉瘘、脊髓血管畸形、颅内及颅外血管狭窄等神经系统血管病500余例。并通过血流动力学对颅内动脉瘤的发生、发展及愈合的机制进行了深入研究,现已在国内外杂志上发表文章四十余,其中二十余篇被SCI收录。现任北京天坛医院神经介入中心治疗组组长。主持国家自然科学基金及局级科研课题各一项,参与国家自然科学基金、北京市自然科学基金及国家重点研发计划共五项。

第13期

作者:梁飞 罗岗 霍晓川 穆士卿
单位 :首都医科大学附属北京天坛医院神经介入中心
病情简介
患者,女,29岁
主诉:头痛,检查发现颅内动脉瘤1月余。
现病史:患者1月余前无明显诱因,突发头痛伴视物模糊,复视,吞咽困难,声音嘶哑,饮水呛咳,左侧肢体麻木,不伴有头晕,呕吐等症状。于当地医院就诊,行MRI+MRA检查发现基底动脉夹层动脉瘤,经保守治疗后症状略见好转。出院后因左侧肢体麻木进行性加重,活动受限,遂到我院就诊,现为求进一步治疗,收住我院。
既往史:既往体健。
查体:Bp 111/88 mmHg,神志清,精神可,双侧瞳孔等大等圆,光反应灵敏。伸舌左偏,悬雍垂偏右,右侧肢体肌力5级,左侧肢体肌力3级,四肢肌张力正常,双侧病理征阴性。
术前影像学检查
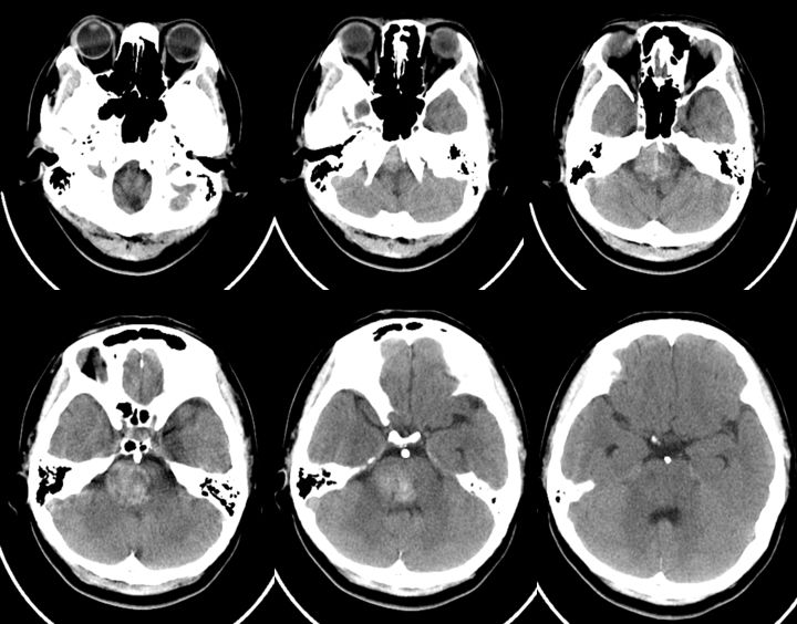
当地医院头CT:右侧脑干占位(2019-09-06)(图1)。

图1
当地医院 CTA:基底动脉中上段瘤样扩张(图2)。

图2
当地医院DSA:基底动脉中上段夹层动脉瘤(2019-09-10)(图3)。

图3
当地医院MRI:基底动脉中上段夹层动脉瘤(2019-09-16)(图4)。

图4
当地医院MRA:基底动脉中上段夹层动脉瘤(2019-09-16)(图5)。

图5
本院DSA:基底动脉巨大夹层动脉瘤,双侧后交通动脉未见明显开放(图6)。

图6
本院 DSA三维血管重建(2019-10-10)显示:基底动脉巨大夹层动脉瘤(图7)。

图7
术前诊断
基底动脉巨大夹层动脉瘤
手术风险
1、术中动脉瘤破裂出血
2、穿支事件
3、急性、亚急性支架内血栓形成
诊断分析
1、患者突发头痛,伴视物模糊,复视,吞咽困难,声音嘶哑,饮水呛咳,左侧肢体麻木,经保守治疗后症状略见好转。出院后左侧肢体麻木进行性加重,活动受限。入院时神经系统查体:右侧肢体肌力5级,左侧肢体肌力3级,四肢肌张力正常,双侧病理征阴性。
2、头部核磁共振显示:脑干占位性病变,边界较清晰,较大层面大小约35 mmx25 mm。MRA显示:基底动脉夹层动脉瘤。DSA显示,基底动脉巨大夹层动脉瘤,最大长径为:10.8 mm,最大短径为3.2 mm。根据患者症状及影像学诊断,基底动脉巨大夹层动脉瘤进行性增大压迫脑干,不排除脑干水肿可能,亟待手术治疗。
3、由于双侧后交通动脉未见明显开放,为保证脑干血供,手术必须确保载瘤动脉通。动脉瘤累及左侧AICA,基底动脉穿支丰富,位置深在,而且动脉瘤为夹层动脉瘤开颅手术治疗困难,且风险极高。回顾文献及本中心治疗经验,此类动脉瘤血流导向装置疗效较好,经科内讨论后决定运用Tubridge血流导向装置治疗。
治疗过程简述
1、患者全身麻醉,右侧股动脉穿刺置入8F动脉鞘,5F中间导管携带6F长鞘超选入左侧椎动脉,行造影及三维旋转寻找最佳工作角度(图8)。

图8
2、调整至合适的工作角度后,撤出5F中间导管,将5F Navien 通过6F长鞘置入左侧V3段。路图引导下由2 m Synchro-14微导丝将T-track支架微导管超选进左侧大脑后动脉P2段(图9)。

图9
3、多个投射角度辅助下,将一枚3x35 mm的Tubridge支架经T-track支架微导管缓慢释放(图10)。

图10
4、支架完全释放后造影可见支架完全覆盖动脉瘤,贴壁良好,载瘤动脉及支架覆盖的双侧AICA及右侧椎动脉通畅(图11)。

图11
5、术后患者恢复良好,复查CT与术前无明显改变。查体:神志清,精神可,双侧瞳孔等大等圆,复视、吞咽困难、饮水呛咳较入院时明显改善,右侧肢体肌力5级,左侧肢体肌力4级,四肢肌张力正常,双侧病理征阴性(图12)。

图12
体会
1、该患者声音嘶哑,吞咽困难,饮水呛咳。左侧肢体麻木进行性加重,活动受限,斟酌巨大夹层动脉瘤进行性增大,压迫脑干,同时不排除脑干水肿,故术前及术后进行脱水协同扩充血容量治疗,并密切监测电解质指标。
2、支架的选择和释放是其技术难点。本病例在密切测量的基础上选用3x35 mm的Tubridge支架。在支架释放过程中,采用推送技术与减张释放相结合,既能防止支架的弹性回缩,又能够使支架覆盖整个病变。
3、术后处理也是巨大动脉瘤治疗的要害。激素可减轻动脉瘤壁术后缺血缺氧导致的炎症反应,预防术后动脉瘤破裂出血;建议巨大动脉瘤术后需结合激素治疗。
4、术前双抗(拜阿司匹林100 mg/d,波立维75 mg/d)5天,术后继续抗血小板药物治疗,防止支架内血栓形成及术后穿支事件的发生。

神经介入在线作为中国卒中学会神经介入分会的官方公众号,现已成立三年。作为最早创建的神经介入专业的学术交流平台,由缪中荣教授团队倾力打造,秉承合作、创新、交流的宗旨,为医务工作者提供国内外神经介入领域最新资讯、指南,聚焦难点深度评论,引领学术前沿。2019年致力搭建神经介入领域国内外最新医学资讯、研究进展、病例讨论、趣味科普等各项学术交流互动共享平台,整合医疗资源,发挥联盟优势,风雨共济,守候健康,我们在这里等你!