黑夜给了我黑色的眼睛,
我却用它来向世人宣称:我已经老了!
???
你可知道,人老眼先衰,眼睛是第一个表现出你开始衰老的部位,除了每天至少要眨眼1000多次外,不规律的生活习惯、过多的眼部运动、疏忽的眼部保养、不当的眼部护理等等,都会造成眼部出现这样那样的衰老症状。
盘点眼部各种衰老现象
1、黑眼圈
“熊猫眼”,有血管型的,也有色素型的,多由经常熬夜、情绪不稳定、眼部疲劳造成的静脉血管变缓慢,其中的二氧化碳及代谢废物积累过多,形成血管型黑眼圈以及造成眼部色素冷静。

2、眼周皱纹
眼纹有眼部细纹、干纹、深纹、表情纹等,眼部细纹干纹由皮肤缺水、光老化造成的;深纹是细纹或表情纹日积月累造成的;表情纹是眼轮匝肌过度运动造成的动态眼纹。

3、眼皮松垂
一种是自然衰老症状(多与眉下垂同时存在),一种是经常贴双眼皮贴造成的眼皮松弛下垂,这样不仅遮住部分眼球影响视线,还会让人看起来特别的显老。

4、眼袋
眼袋有先天性和获得性两类,先天性多是由眼眶周围的纤维结缔组织强度和弹性不足造成的;绝大多数是获得性眼袋,与不恰当按摩、常画眼线、长期熬夜等因素有关。

5、眼睑凹陷
上眼皮组织流失、不良生活习惯、双眼皮手术失败等等都会造成眼睑凹陷,对于天生眉弓低、鼻梁塌的亚洲人来说,眼睑凹陷显得眼睛很单薄,眼球看起来也有些凸出,非常显老。

6、泪沟
泪沟是由内眼角开始出现在下眼睑靠鼻侧的一条凹沟,有的甚至可延伸到脸颊,它的位置在眼袋下方。有泪沟的人,有的时候看上去会显得有眼袋,也会显得有阴影型黑眼圈,更显老。

想要对抗眼周衰老,实现眼周年轻化,你需要眼部热玛吉治疗!
眼部热玛吉,更合适眼部抗衰
眼部热玛吉是热玛吉中的一个治疗探头,专门针对眼部出现的皱纹、松弛、下垂、眼袋、黑眼圈等眼部衰老问题给出解决方案的眼部抗衰项目,也是目前医学美容市场上唯一能够不需要手术和注射就能够祛除眼周皱纹,实现眼周年轻化的治疗方法。

热玛吉以非侵入性的紧致肌肤技术,治疗时,高能量射频形成聚焦面,选择性功能皮下2.6-3mm左右的真皮组织,瞬间高效激活皮肤胶原纤维,促进胶原蛋白大量增生,胶原分子逐渐组合成排列有序的胶原质,从而实现眼周年轻化。

一次眼部热玛吉治疗,即可实现:眼部提升、减轻眼袋、淡化鱼尾纹、祛除下眼纹、减少松弛、缓解下垂、紧致肌肤。

眼部热玛吉综合眼部抗衰亮点
1、治疗更快速、精准、全面:眼部治疗探头更小,可辐射到眼部衰老的每一个细节区域,加上原本射频脉冲非常快的速度,治疗时所用时间更短。

2、治疗更安全,感知度更轻:非侵入式射频光治疗,无创高效,同时射频速度提升+冷却系统,缓解神经系统反应时间,治疗更舒适。
3、治疗效果佳,持续时间更久:眼部热玛吉治疗后的3-6个月,真皮组织会再生新的胶原蛋白,不间断的提拉与紧实松弛的皮肤,减少皱纹,有效提升眼部肌肤的明亮紧实度。

持续不断的刺激真皮胶原再生,治疗后的皮肤架构更紧致、饱满。

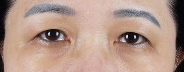
【眼部热玛吉治疗1次对比效果-眼周细纹消失,轻度眼袋抚平,稍显松弛的眼皮也有提升的效果】
眼部有细纹,做了眼部热玛吉,细纹消失了;眼部同时存在多种衰老问题,做了眼部热玛吉,眼部变年轻了,这就是眼部热玛吉的魅力所在!