技术原理
自旋回波序列(SE)是磁共振成像中最常用的基础序列,可用于产生T1加权、T2加权和质子密度加权图像。自旋回波序列(SE)使用90°射频脉冲(Radiofrequence Pulse, RF),将纵向磁共振矢量激励而使纵向磁化矢量翻转至横向平面,等待一段时间(TE/2)后,利用180°回波脉冲,将横向磁化矢量重聚,产生回波信号进行采集,而这种回波就叫作自旋回波。自旋回波脉冲序列图见图1。

图1,自旋回波脉冲序列(SE Sequence)示意图。90°射频脉冲之后,施加180°的回波脉冲,产生的回波信号叫做自旋回波。TR时间,即射频激励脉冲的重复时间,是两个90°射频脉冲的间隔时间;TE时间,即回波时间,是180°回波脉冲施加后,产生回波与90°脉冲之间的间隔时间。
技术参数
自旋回波序列(SE)在磁共振成像中,根据反映磁场中质子不同弛豫过程,能够进行T1加权、T2加权、质子密度(PD)加权成像,这一成像过程,是通过调节TR时间、TE时间的长短来实现的,其中 TR的长度决定了纵向磁化的恢复程度;而TE的长度决定了横向磁化的衰减程度 。
在临床应用中,SE序列实现不同加权成像的参数,可参考如下表格:

注意:其中T1弛豫时间依赖于场强的, 磁场强度越大,T1弛豫时间越长,则需要更长的TR时间来反映T1加权对比。
临床图像
我们通过磁共振脑实质成像,来表现不同加权图像的信号对比特点,通过短TR、短TE实现T1加权成像;通过长TR、长TE实现T2加权成像(由于SE采集效率低,在实现T2加权中,可利用快速自旋回波序列TSE代替);通过长TR、短TE实现PD加权成像。

图2,SE T1加权图像。左图为横断面脑实质T1加权图像,TR=582ms,TE=12ms。右图为矢状面脑实质T1加权图像,TR=480ms,TE=12ms。T1加权图像主要用于显示脑实质解剖结构,脑白质相对于脑灰质显示为稍高信号;脑脊液在T1加权图像中为低信号,皮下脂肪组织、骨髓脂肪组织显示为高信号,而骨结构、空气等在磁共振中不产生信号。(图像源自飞利浦磁共振系统)

图3,TSE T2加权图像。左图为横断面脑实质T2加权图像,TR=3502ms,TE=120ms;右图为矢状面T2加权图像。T2加权图像利用长TR、长TE来实现。在长TR的情况下,扫描周期内纵向磁化矢量已充分恢复。采用长的TE后,T1效应进一步排除,主要反映组织间横向弛豫的差异。长TE的另一功能是突出液体等横向弛豫较慢的组织之信号。一般病变部位都会出现大量水的聚集,用T2加权像能够非常满意地显示这些水的分布。因此,T2加权像在确定病变范围上有重要功能。T2加权图像中,脑灰质相对于脑白质显示为稍高信号;脑脊液在T2加权图像中为高信号,而骨结构、空气等在磁共振中不产生信号,而皮下脂肪组织、骨髓脂肪组织在脂肪抑制的条件下显示为低信号。(图像源自飞利浦磁共振系统)

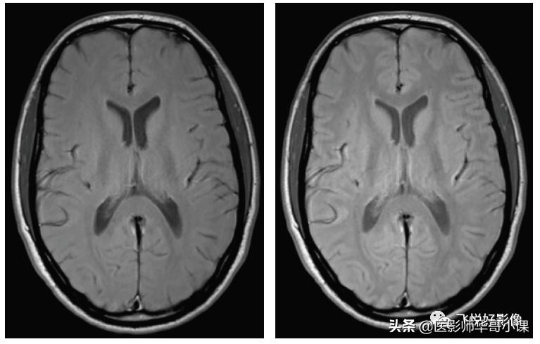
图4,TSE PD加权图像。横断面脑实质PD加权图像,左图TR=1500ms,TE=20ms,右图TR=2000ms,TE=20ms。PD加权图像主要反映组织的质子密度,在长TR时间条件上,纵向弛豫已完全恢复,在短TE时间条件下,横向弛豫衰减不明显,因而在长TR、短TE时,图像信号强度反映的是组织质子密度。PD加权图像解剖结构的显示不如T1加权图像,脑灰质相对于脑白质相对呈中高信号,脑脊液信号与脑灰质类似,脂肪组织仍显示为高信号,而骨结构、空气等在磁共振中不产生信号。(图像源自飞利浦磁共振系统)
临床应用
SE T1加权目前仍是临床应用的基础序列,而T2加权或PD加权成像往往是基于TSE序列来实现。SE T1加权成像可用于脑实质T1加权平扫或增强扫描,骨与关节、脊柱T1成像,如果配合使用呼吸门控或屏气扫描,在飞利浦的磁共振上亦可用于腹部自旋回波T1加权成像,这有助于消除梯度回波序列带来的化学位移效应。
转自: MR Education