主动脉夹层假腔和真腔cta影像表现 (主动脉夹层cta能扫描出来吗)

主动脉夹层cta能扫描出来吗,急性主动脉夹层cta影像诊断与鉴别

本文结合病例,为大家介绍了神奇的三大征象,赶快收藏吧!

主动脉夹层被称为"人体*弹炸**",死亡率很高,是心血管急危重症。主动脉疾病诊断的"金标准"是胸腹主动脉血管成像(简称CTA)。

当基层值班医生夜班急诊碰到急性胸背痛或急性腹痛患者,在没有CTA 的情况下,如何凭借火眼金睛从胸片、彩超、平扫CT等普通检查中发现主动脉病变?

第一招 血管直径增大征

这个征象比较好识别,当主动脉夹层形成巨大的夹层动脉瘤时,通过胸片、平扫CT、彩超等也能初步诊断主动脉病变。

病例一

胸片提示左上纵隔影增宽(红色星形标记),CTA证实B型主动脉夹层伴降主动脉夹层动脉瘤形成。

主动脉夹层cta能扫描出来吗,急性主动脉夹层cta影像诊断与鉴别

主动脉夹层cta能扫描出来吗,急性主动脉夹层cta影像诊断与鉴别

病例二

胸部平扫CT提示升主动脉增宽(红色星形标记),CTA证实A型主动脉夹层伴升主动脉夹层动脉瘤形成。

主动脉夹层cta能扫描出来吗,急性主动脉夹层cta影像诊断与鉴别

病例三

胸部平扫CT提示胸降动脉增宽(红色星形标记),CTA证实B型主动脉夹层伴降主动脉夹层动脉瘤形成。

主动脉夹层cta能扫描出来吗,急性主动脉夹层cta影像诊断与鉴别

主动脉夹层cta能扫描出来吗,急性主动脉夹层cta影像诊断与鉴别

病例四

腹部平扫CT提示腹主动脉增宽,CTA证实为腹主动脉局限性夹层(红箭头所示)。

主动脉夹层cta能扫描出来吗,急性主动脉夹层cta影像诊断与鉴别

主动脉夹层cta能扫描出来吗,急性主动脉夹层cta影像诊断与鉴别

第二招 血管内膜征

正常情况下,主动脉的血管内膜在平扫CT中无法识别,但在某些特殊情况下,主动脉夹层及主动脉壁间血肿的平扫CT中也能够显示,从而帮助诊断。

病例五

平扫CT提示主动脉弓层面及右肺动脉层面均可见主动脉血管腔内的内膜片影(红色箭头所示),CTA显示为A型主动脉夹层。

主动脉夹层cta能扫描出来吗,急性主动脉夹层cta影像诊断与鉴别

主动脉夹层cta能扫描出来吗,急性主动脉夹层cta影像诊断与鉴别

主动脉夹层cta能扫描出来吗,急性主动脉夹层cta影像诊断与鉴别

主动脉夹层cta能扫描出来吗,急性主动脉夹层cta影像诊断与鉴别

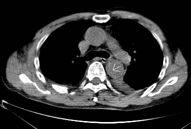
病例六

平扫CT提示降主动脉内膜片影(白箭头所示),CTA显示为B型主动脉夹层。

主动脉夹层cta能扫描出来吗,急性主动脉夹层cta影像诊断与鉴别

主动脉夹层cta能扫描出来吗,急性主动脉夹层cta影像诊断与鉴别

病例七

平扫CT提示升主动脉及降主动脉内膜片,CTA证实为A型主动脉壁间血肿。

主动脉夹层cta能扫描出来吗,急性主动脉夹层cta影像诊断与鉴别

主动脉夹层cta能扫描出来吗,急性主动脉夹层cta影像诊断与鉴别

病例八

有时在彩超中也能够观察到内膜片,但其准确性不高,存在假阴性和假阳性的可能。

主动脉夹层cta能扫描出来吗,急性主动脉夹层cta影像诊断与鉴别

第三招 神奇的钙化点征

正常主动脉的血管可能有钙化,在没有病变的主动脉壁,钙化点一般在主动脉外周一圈,当血管内出现内移的钙化点,则提示内膜片内移,可能是病变的征象。

病例九

平扫CT提示降主动脉内膜片征,同时内膜片中可见一钙化点。CTA证实为B型主动脉夹层。

主动脉夹层cta能扫描出来吗,急性主动脉夹层cta影像诊断与鉴别

主动脉夹层cta能扫描出来吗,急性主动脉夹层cta影像诊断与鉴别

病例十

腹主动脉平扫CT提示正常外周一圈的钙化影中有内移的钙化影(红色箭头所示),CTA 证实为腹主动脉夹层。

主动脉夹层cta能扫描出来吗,急性主动脉夹层cta影像诊断与鉴别

主动脉夹层cta能扫描出来吗,急性主动脉夹层cta影像诊断与鉴别

病例十一

平扫CT发现主动脉血管内孤立的钙化点(红色箭头所示),CTA证实为降主动脉溃疡合并壁间血肿。

主动脉夹层cta能扫描出来吗,急性主动脉夹层cta影像诊断与鉴别

主动脉夹层cta能扫描出来吗,急性主动脉夹层cta影像诊断与鉴别

主动脉夹层cta能扫描出来吗,急性主动脉夹层cta影像诊断与鉴别

病例十二

平扫CT提示降主动脉一接近外周的钙化点(红色箭头所示),CTA证实为降主动脉壁间血肿。

主动脉夹层cta能扫描出来吗,急性主动脉夹层cta影像诊断与鉴别

主动脉夹层cta能扫描出来吗,急性主动脉夹层cta影像诊断与鉴别

掌握了以上的影像学征象,值夜班再碰到急性胸腹痛的病人做检查就不要再慌张了。当然,最终确诊还是要经过CTA检查,明确病变性质和程度,从而指导治疗方案的制定。

本文首发:医学界心血管频道

本文作者:郑智

责任编辑:董小雯

版权申明

本文原创 如需转载请联系授权

- End -