长了智齿牙疼怎么办?我们第一时间想到的就是拔除,这是正确的做法,可是拔除之后就万事大吉了吗?没那么简单,小心拔完牙齿后干槽症找上身。

先来看看干槽症是个啥?
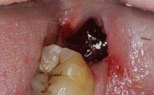
目前认为干槽症是牙齿拔除后由口腔细菌所引起的骨创感染。拔牙窝空虚和感染是其产生的主要原因。正常的拔牙窝愈合是牙齿拔除后,血块充满拔牙窝后形成了高质量的充填物,凝固后保护拔牙窝,促进伤口的愈合。而在愈合过程中,如果凝血块脱落或者感染,就可能导致干槽症。多发生于下颌智齿拔除后。
干槽症有什么症状:
典型的症状是:拔完牙3~4天后出现剧烈的疼痛,疼痛向同侧耳朵、太阳穴处放射,口服止痛药不能缓解。
我们一般在拔除后都会感觉疼痛,如何判断自己患了干槽症呢?
第一看出现的时间。因为拔牙后凝血块的脱落和感染是需要一定时间的,如果你是在拔牙后前两天出现疼痛现象,不必过于紧张,能够尝试止痛药物,因为此时诊断不明确,盲目处理反而有可能会干扰创口正常愈合。
第二看疼痛的累及的范围。特别是耳朵和太阳穴。如果只局限于拔牙窝,那术后反应的可能性较大。
第三如果吃一般的止痛药无效的话,可能就要到医院检查了。
干槽症是如何形成的?
1、拔牙前消毒不彻底
在拔牙之前,若消毒工作不够彻底,则可能导致拔牙窝被口腔内的细菌感染,使得牙槽窝内的骨壁患上骨炎或骨髓炎。
2、与解剖部位有关
下颌后牙区域拔牙发生几率比较高,后牙的拔除视野不好,为了获得更好的拔牙视野很容易导致创口过大。
3、与拔牙后的护理有关
由于拔牙后的创口血块没有形成,患者忽视了对拔牙创口的保护,破坏了创口内已经形成的血块,口腔内的细菌进入牙槽骨引起感染。
4、服用避孕药及吸烟人群
这类人群得干槽症的几率要比普通人高。口服避孕药使干槽症增大的原因可能是避孕药使纤维蛋白分解活动增加,凝血块被破坏之故,而月经周期第一天拔牙使干槽症发生率升高的原因,是由于此时唾液中纤维蛋白溶酶原的前体激活物增加,达到最大值,当伤口与唾液接触时,凝血块过早被破坏而影响愈合。
有些患者吸烟如命,拔完牙后也控制不住自己,立马吸烟,这会造成拔牙创口的玷污,抽烟时的洗吹动作也促使拔牙位置血凝块移位,从而增加干槽症的几率。
如何预防干槽症?
1、加强医生的无菌概念,手术前严格消毒拔牙区域,术中应严格遵守无细菌操作.
2、提倡微创拔牙,术中不要盲目的扩大创口,尽量减少创伤,术后应尽量缩小拔牙创口。
3、拔牙后应当按医生嘱咐行事,严禁拔牙后24小时内刷牙、漱口、吐沫、舌头触动伤口,保护好拔牙窝内的血凝块,减少发生干槽症的可能性。
4、伤口愈合之前尽量进食软食,避免拔牙侧咀嚼,注意饮食的清洁卫生,淡盐水漱口刷牙。
5、在手术后24小时之内严禁*草烟**。如果你是一名服食避孕药的女性,你能够把拔牙手术安排在生理期的第二十三天到第二十八天,在这几天中你的雌激素水平最低。
6、严重感冒期间或身体、精神状况不佳的时候不建议拔牙,尤其是难度较大的后牙。