子宫肌腺症治疗大全,你看这一篇就足够了

又名“子宫腺肌症”,又称之为子宫肌腺症,英文Adenomyosis。

提起子宫肌腺症,这是一个让很多女性头痛的问题,主要表现就是重度的痛经,痛经有可能没有任何原因开始,也有可能在某次宫腔手术以后出现,逐渐加重,到难以忍受,有些甚至需要口服止痛药控制。通常会合并有不孕、月经过多、*交性**痛和子宫增大的表现。

肌腺症的成因不清楚,有可能是和子宫内膜的损伤有关,也和遗传部分相关。从病理上看,在子宫肌层内能够看到子宫内膜的出现,由于这些子宫内膜腺体会在月经期也会象在子宫腔内的内膜一样出血,但是出的血却出不去,因此会导致严重的疼痛。

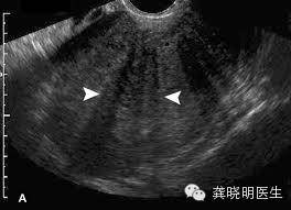
子宫肌腺症若是通过超声检查,往往能够发现子宫壁增厚,出现结构紊乱。

核磁共振检查也会有类似的发现,能够发现肌层有明显的增厚和结构紊乱,在核磁共振上更加明显。

通常情况下检查血的Ca125指标会有升高(不必紧张,通常不代表是癌的表现,参阅《CA125增高预示着得了肿瘤了吗?》)。

肌腺症在子宫内部若是局部形成一个象肌瘤一样的结节,在超声上可能会比较局限,看起来象是一个肌瘤,但是通常边界不如肌瘤清楚,绝大多数超声认为的腺肌瘤其实都是腺肌症的表现,这在核磁共振检查上更清晰。

肌腺症导致的痛经和不孕往往难以处理,目前在治疗上也是一个比较棘手的疾病。轻症的患者,能够口服或肛塞止痛药控制痛经,有生育要求的患者,能够先积极尝试怀孕,若是怀孕困难,必要的时候需要辅助以人工助孕措施。

肌腺症若是痛经症状较为显著,往往需要进行干预。

保守性的治疗方案能够先尝试口服避孕药,短效避孕药能够使得部分痛经患者的症状减轻,不便之处则是需要长期坚持口服,40岁以上的患者往往就不推推荐长期使用口服避孕药。

曼月乐是近年来出现的一种新型避孕环,环上带有孕激素,能够缓慢在体内释放,功能能够维持5年,若是患者子宫不大,曼月乐也能够有效地控制痛经和月经过多的症状。曼月乐的缺点是不合适于有生育要求的患者,若是子宫较大,也不合适放,放环以后有部分患者可能会出现脱落。放环以后会出现月经量大幅度减少,不少患者在前6个月内比较容易出现月经紊乱的情况,在6个月以后会得到改善。有关曼月乐的信息请参阅《神奇的避孕环——曼月乐》

若是保守性治疗方案效果不佳,则需要斟酌手术治疗,目前手术治疗分保守性的肌腺症病灶切除和根治性的子宫切除。

若完成了生育,没有生育要求,选择病灶切除虽然也是能够,但是因为肌腺症病灶往往比较弥漫,手术有的的时候不易切除干净或者在切除子宫容易有出现复发的情况,所以若是心理上能够接受子宫切除,则倾向于选择做子宫切除,若痛经仅仅是由肌腺症导致的问题,通常能够获得完全的缓解,部分患者若是合并有子宫内膜异位症,则痛经有可能缓解不完全。有不少人担心子宫切除的副功能,譬如子宫切除了是否会变老,子宫切除了是否会出现盆腔器官下垂,这些其实是谣言,做子宫切除的时候,我们往往是会保存卵巢的(但是建议切除输卵管,原因见:《剔除子宫肌瘤顺便切了输卵管,值吗?》),卵巢的激素不会受影响,所以人也不会老,下垂不下垂往往是和分娩过程中的损伤有关,和子宫无关,正常位置的子宫即便拿掉了,也不会导致肚子里面的器官脱离在盆腔内。

当然,很多人因为各种原因不想切除子宫,我们会尊重患者的选择,保守性的治疗,过去我们是在腹腔镜下做子宫腺肌症病灶的挖除(绝大多数情况下不必开腹,微创手术足以完成),最近我们在开展了不少新方法治疗,超声聚焦(磁波、海扶)、微波、射频是我们近些年来开展在做的方法,之前都发过相关的科普文章,能够打开以下的链接参考以下的科普文章:

对于病灶靠近宫腔的腺肌症病灶也能够采取宫腔镜手术的办法,宫腔镜手术是没有肚子上的切口,从阴道内进行手术。

各种方法各有利弊,相当于腹腔镜手术来说,它的创伤更加小,疼痛更加轻。当然这些方法绝对不是一种方法能够打天下的,譬如磁波治疗只合适一半左右的腺肌症患者,射频治疗合适于病灶比较靠近宫腔的患者,微波治疗若是前方有肠管也会不安全。这些方法的一个原理都是通过能量设备破坏到腺肌症的病灶,起到缓解症状的功能。术后症状的缓解程度往往取决于手术过程中能够破坏掉的病灶范围,治疗过程中第一重要的保证安全性,所以当病灶位置处于比较危险的位置的时候,往往可能会放弃掉治疗,若是病灶被破坏得比较完全,术后疼痛月经过多的情况马上就能够改善,但是若有病灶残留(或者是因为合并有子宫内膜异位症),术后症状可能会缓解不理想,因此术后症状的改善也会个体产生差异。对于各种治疗方案的选择,能够参考我这篇科普:

在治疗过程中,若是没有生育要求,也有月经过多的时候,我们通常也联合采用子宫内膜破坏的办法,技术介绍如下:

破坏子宫内膜以后,月经往往就会不来,所以月经过多的症状能够得到改善。有不少患者问,那么是否做了内膜消融,也就不痛了呢?不是的,内膜消融只能破坏正常位于宫腔内的子宫内膜,对于异位到肌层内的子宫内膜起不到破坏的功能,因此往往内膜消融是和上诉的磁波、微波、射频结合在一起应用。

为减少术后的复发,我们也建议患者在术后3个月的时候斟酌放曼月乐环,目的是未来减少在别的部位的腺肌症病灶的复发。很多患者上网一查曼月乐,可能都会被描述的副功能吓住,但是记得曼月乐对于腺肌症的患者来说,往往是利大于弊的,尤其是在内膜破坏以后,出现不规则出血的情况就要少得多。而且,想取掉曼月乐,在门诊1分钟的事情就能够完成,为何不去一试,下面这篇文章是我的一个患者写的,供参考:

若是有生育要求,能够先尝试自然受孕看看,一般来说,正常人一年妊娠率在80%,腺肌症为40%,但是仍然是有一定的机会的,但是子宫腺肌症发生流产、胚胎停育的情况比正常人群要高。若是尝试不告捷或者容易发生流产,我们通常建议需要试管婴儿配合GnRH-a打针的办法,试管取出卵子做好受精卵以后,用GnRH-a萎缩病灶,在月经还没有恢复或者病灶还比较小的时候,内膜一张起来就做移植,这样以增加告捷率,也打一个时间差。若是病灶比较大(超过4cm),单独靠打针则不够,往往需要结合上述提到的物理破坏的办法消融破坏病灶,加GnRH-a打针再行试管的方法助孕。在过去肌腺症往往被判断为生育困难,近年来的尝试使得肌腺症的生育逐渐成为可能。我之前做过一个科普视频,供参考:

当然,也有部分患者尽管经过多种方法的努力,仍然无法怀孕的,代孕可能成为唯一的解决方案,目前代孕在国内仍然是非法的,只能去国外来完成,但是费用昂贵(了解代孕,请回复“代孕”)。

子宫腺肌症和子宫内膜异位症是一对姐妹病,往往会合并同时存在,若是合并有卵巢巧囊,会增加处理的难度,单纯用磁波、微波、射频、内膜消融技术是处理不到子宫内膜异位症的病灶的,所以一般而言,对于合并存在的情况,我们需要辅助以腹腔镜或者经阴道穿刺的方案(后者参阅我下周的科普)。具体到个体的情况,往往需要来门诊检查以后来决策何种治疗方案。

总之,肌腺症是一个解决起来比较棘手的问题,生育也比较困难,各种新方法的涌现让我们腺肌症治疗多了些手段,使得保存住子宫成为可能,当然若是能够接受,子宫切除仍然是根治子宫肌腺症的一个方法。

最后,我的门诊时间能够在龚晓明医生的微信公众账号菜单栏上能够查询,目前出诊点有北京、上海、深圳。磁波和射频治疗目前只能在北京开展,微波、内膜消融治疗在各地均可开展,来看我门诊之前,最好是做好了核磁共振,拿到光盘为佳,或者来我出诊的城市同一天预约到核磁共振,做了检查刻录了光盘来我门诊,这样是最快的。不方便来门诊的,也能够预约视频会诊先。以下医院能够提供核磁共振的检查光盘刻录业务:

~~~~~~~~~~~~~~~~~~~~~~~~~~~~~~

回复“04”查看历史文章,回复“02”查看门诊预约

龚晓明 医学博士

妇产科自由执业医师

沃医妇产名医集团联合创始人

前北京协和医院妇产科、上海市第一妇婴保健院妇科医师

医疗咨询好大夫网站:http://gongxm.haodf.com

微信公众账号:龚晓明医生

新浪微博:@龚晓明医生

2014年12月10日于MU 5156航班

2016年11月18日更新于LA

2018年1月7日更新于北京

2018年5月1日更新于北京