病史简介
患者男,27岁, 5年前因左腔骨中下段开放骨折入院行交锁髓内钉固定术,切口一期愈合拆线出院。约2年前行内固定取出术,术后恢复良好。2个月前右膝髌韧带切口处时常出现破溃流脓(曾切开未发现线结)。市人民医院分泌物涂片检查示少许白细胞。现诊断疑为骨髓炎?现左小腿无疼痛,无发热,无特殊感觉。

咨询问题
是否诊断骨髓炎?明确诊断、下一步检查及治疗方案?
化验检查



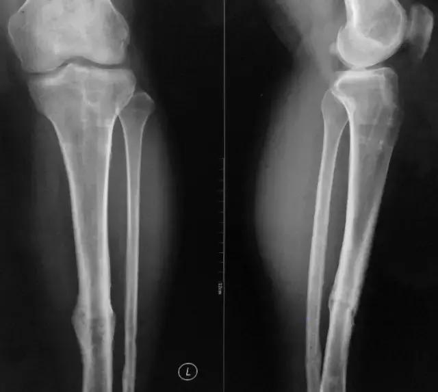
影像检查








行家回复
北京积水潭医院张伯松:
诊断:感染。 检查:膝关节MRI,确认伤口窦道是否与髓腔相通。 治疗:1、血沉和C反应蛋白正常,目前无需特殊处理。 2、如果窦道反复出现或血沉和C反应蛋白升高可斟酌手术。如证明窦道与髓腔相通,需行扩髓。
提单医生:
现在静点甲硝唑,克林霉素,髌韧带处小伤口时常流脓,今日做细菌药敏。这样处理行吗?髌韧带处反复约两个月。是要反复查血沉,C反应蛋白吗?多久复查一次?如果一次复查指标高,是不是就要手术?如果手术是上下切口扩髓持续冲洗吗?骨髓炎目前还不能确诊是吗?
北京积水潭医院张伯松:
1、诊断:感染。(如果窦口与髓腔相通就是骨感染) 2、检查中血沉和要动态检查。如果局部红肿伴胀痛就查。 3、如果扩髓需要远近端开口。
提单医生:
髌韧带处表浅伤口每次少量脓液约两个月,如相通表示要马上手术治疗是吗?
北京积水潭医院张伯松:
就具备手术指征了!
提单医生:
核磁示中下段骨髓炎,上面切口处流脓,请问张主任你的意见要上手术吗?
北京积水潭医院张伯松:
1、是具备手术指征了!也就是说能够手术。 2、并不是必须马上手术。不发热,不红肿、化验都正常也能够换药口服抗生素。
提单医生:
谢谢张主任。祝生活快乐!
北京积水潭医院张伯松:
保持联系
小和对您说
如果您是医生
扫描关注“和缓医生服务号”微信号
即可注册和缓名医
如果您是患者/家属
请拨打电话:400-801-7809转4
即可了解向名医发起会诊的流程
