
点击“北大肿瘤肝胆外一” 可订阅
想了解肝胆胰肿瘤领域最新进展吗?
想让更多的人也能看到这些进展吗?
您的关注和转发是我们最大的动力!
本期病例讨论沙龙的病例,来自中国医科大学附属第一医院肿瘤内科。该患者为升结肠癌同时性肝转移,通过局部治疗联合化疗,使该患者达到了接近两年的无疾病生存。实际上,这也是大家在临床中经常遇到的典型病例,治疗过程中涉及到同时性肝转移的处理,新辅助化疗的时机与选择,局部治疗手段的选择等诸多目前国际上讨论的热点焦点。在这里,我们将该病例展示给大家,希望您能把您的问题和意见反馈给我们。下一期我们将会邀请行家学者,针对这个病例进行专门的解读剖析。
升结肠癌同时性肝转移
中国医科大附属第一医院 肿瘤内科
现病史
● 70岁老年女性
● 2014.08无明显诱因出现腹痛,右下腹为重
● 急诊CT示:右半结肠占位病变,肝内多发低密度灶
● 诊断:结肠癌(pT4N1M1,IV期,肝转移)
● ECOG:1分
● 既往史:无高血压,冠心病,糖尿病等病史 ;无恶性肿瘤家族史

第一次手术-原发灶
● 2014.09因肠梗阻行右半结肠切除术
● 术中所见:直径约4.5cm肿物,侵及浆膜层,右半结肠系膜可触及多发肿大淋巴结,肝脏可触及一枚直径约1.1cm灰白色质硬结节,未做处理。
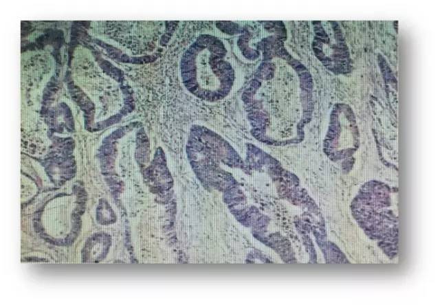
● 术后病理:(结肠)中分化腺癌浸润至浆膜层,淋巴结转移(2/12),另见癌结节3枚

术后治疗
术后因患者个人原因未行化疗
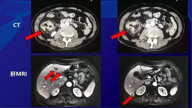
● 2014-11复查肝脏MRI,肝内转移灶增多,增大

● 2014.11 患者自行就诊于介入科,要求行肝脏肿瘤消融术,将肝左外叶(2枚)与右肝(1枚)转移灶进行微波消融,其余病灶(新发两枚)未处理

1、术后是否应该进行化疗(新辅助)?化疗开始的时间?
2、新辅助——该患者同时性肝转移,存在多发转移灶,原发灶N+。是否属于预后不佳组(Oncologcial criteria "bad")?是否应新辅助化疗?
3、局部治疗(排除患者因素)——选择根治性治疗?非根治性治疗?
1
一线治疗
● 2014-12-5 入我科治疗
● 诊断:结肠癌(pT4aN1M1,IV期,肝转移)
● ECOG :2分
● 基因检测:KRAS,NRAS及BRAF均野生型
● 由于经济原因拒绝使用靶向药物,予XELOX方案化疗(减量) –奥沙利铂:100 mg/m2, d1 –卡培他滨:850 mg/m2,BID, d1-d14。无严重不良反应。
● 2周期—SD; 4周期—PD

1、新辅助方案选择: XELOX or FOLFOX?
2、新辅助周期——2c or 4c?
2
二线治疗
● 建议手术,患者拒绝
● ECOG: 1分
● 2015-3月 二线治疗:伊立替康+替吉奥 –伊立替康:180 mg/m2,d1 –替吉奥: 40mg,bid,d1-d14 ——每3周一周期,无不可耐受不良反应
● 2周期后评效:PD

3
三线治疗
● 继续建议手术,患者仍拒绝
● ECOG: 1分
● 2015-5月:雷替曲赛 单药 –雷替曲赛 3 mg/m2,d1 –每3周一周期。无不可耐受不良反应。
● 2周期后评效:PD

MDT意见
● 肿瘤内科:半年内经历三线化疗,对化疗敏感性差,但未出现新发转移病灶,仅原有转移灶增大,可否行手术等局部治疗?
● 肝胆外科:肝转移灶可行手术切除
● 介入:若无法手术切除可行介入治疗
● 放疗:如若上述治疗都无法进行,可行放疗
全身治疗进展——换方案?介入?手术?姑息治疗?
第二次手术——肝转移
● 2015.07行肝转移灶切除术
● 术中见肝II, III段7*6*4厘米质硬灰白色结节,VI段6*5*7厘米质硬灰白色结节,切除肝II,III(2枚)和VI段的肿物(2枚)
● 术后病理:(肝)中分化腺癌,免疫组化符合肠癌肝转移。其中2枚消融病灶坏死成分约80-90%;另两枚病灶坏死成分约30-40%,纤维化约20%。
● 随访23个月无瘤生存

治疗流程与小结

思考:
• 老年女性,一般状况不佳,依从行差,初始治疗不规范
• 右半结肠癌同时性肝转移,原发灶梗阻发病,术后早期肝脏病灶进展,对化疗敏感性差——生物学行为不佳?
• 局部治疗获益明显
➢思考
• 如何考量肿瘤的生物学行为?
• 全身治疗无效时,寡转移病灶如何处理?何时出手?
看了这个病例以后,您有什么感想、收获或者是疑问呢?欢迎您把想法通过公众号的微信后台反馈给我们,我们会进行认真总结,并在下一期邀请行家进行点评!感谢您的参与与支持!