骨性龅牙,不想做正颌手术,还有救吗?
骨性龅牙就是骨性的上颌前凸,同时由于上颌骨前凸引起的牙齿前凸、龅牙,根本问题是骨性凸。
骨性龅牙根据前凸的程度分类如下:
轻度:如果是轻度的骨性前凸是能够通过牙齿矫正、移动,颌骨位置不变,实现掩饰性矫正,效果是很理想的。
中度:如果是中度的骨性龅牙,除了正颌手术和掩饰性矫治,目前国际上流行的一种局麻微创的牙周手术:“骨皮质切开术”,该手术与正畸联合治疗就能够达到理想效果。
重度:如果是重度骨性前凸,还是建议做正颌手术,仅仅骨皮质切开是不足以完全解决前凸问题的,单纯正畸更不可能改变骨骼形态和位置。
在此还要画一个重点:判定你是否是骨性龅牙很重要。在之前的文章中我已经讲了像Angelababy、彭小苒那样的牙齿前凸并非骨性,可参考文章《Angelababy和彭小苒是怎么变美的?有没有做传说中的正颌手术?》也不需要大动干戈去做正颌手术,单纯正畸即可。有些患者认为自己是骨性,需要做正颌手术;或者认为骨性龅牙能够通过正畸改善面容,要想知道解决方案,需要在判定你是否骨性前凸、以及属于几度骨性前凸的基础之上再做决论。没有定量测量为基础的方案设计是不专业不负责的,正确诊断后,医生会提出理想解决方案和妥协型解决方案供患者衡量。

一个骨性or牙性的自测小方法(仅供参考,准确测量还需面诊):按压一下鼻基底的部位,如果是饱满甚至微凸的,有可能是骨性龅牙(凸面型);如果是凹陷的,有可能是牙性龅牙。各有利弊,牙性龅牙虽然不需要做骨皮质切开或正颌手术,但通常有着面部中陷的困扰,需要做鼻基底骨增量联合正畸治疗。

什么是骨皮质切开术?什么原理?效果真的比单纯正畸好吗?
原理:松解骨皮质、去除骨阻力,但是骨松质是连接的,同时在骨皮质表面植骨,保持骨皮质健康,同时缩短疗程、提高速度。
由于成人患者骨骼没有生长潜力,只有骨改建能力,当牙齿需要较大范围移动时,骨皮质并不能跟随牙齿移动,不利于齿槽骨的健康,所以成人患者牙齿移动范围有很大局限性。为了提高正畸治疗效果,扩大正畸适应症,通过切开、断开牙根部的骨皮质(骨松质是连接的),当牙齿移动时,骨皮质与牙齿同时移动,减小了骨的阻力,牙齿移动的范围更大、速度更快。所以骨皮质切开术不但能解决中度骨性龅牙,还能够实现“快速正畸”。


为了使骨皮质切开效果更加完美,在骨皮质切开同时在表面植骨(盖氏Bio-Oss骨粉),能够更大范围、更快地移动牙齿,同时能够更好的保护牙槽骨健康,因为通过植骨,使骨皮质加厚加高,比术前更加结实。
所以对于轻度和中度的骨性龅牙,骨皮质切开术联合正畸治疗一定会比单纯正畸治疗效果更好、更快。
骨皮质切开适用于什么样的骨性龅牙?通过骨皮质切开能内收多少?
牙齿唇倾度越大,牙齿内收的范围也就越大;牙齿直立,内收范围较小。轻度骨性龅牙、唇倾度大的患者,通过单纯正畸治疗是能够有很大范围内收的,但是因为骨皮质没有切开,同时牙齿内收,正畸后牙轴会变得比较直立。如果正畸前“牙齿内收但是牙槽骨 前凸 ”“牙不凸但是嘴很凸”这种情况就不合适单纯正畸,强行移动牙冠会使牙轴更加直立,甚至“牙根冲出牙槽骨”。这样的患者单纯正畸内收的范围非常有限,需要通过骨皮质切开辅助治疗。
自测方法:观察自己的牙齿是否“飞出去”造成龅牙?还是牙齿直立,牙槽骨凸出造成的龅牙?

牙齿“飞出去”造成龅牙

牙齿直立,牙槽骨凸出造成的龅牙
骨皮质切开术能代替正颌手术吗?
刚才我们一直在讲龅牙的正畸与骨皮质切开术联合治疗,那么地包天能够通过骨皮质切开术解决吗?
地包天包含:
单纯上颌发育不足:
骨皮质切开术联合正畸治疗+鼻基底骨增量,使面中饱满。

单纯上颌发育不足矫正后
单纯下颌发育过度:
骨皮质切开术联合正畸治疗+颏成型

单纯下颌发育过度矫正后
上颌发育不足伴随下颌发育过度的混合型地包天:
骨皮质切开术联合正畸治疗+鼻基底骨增量+颏成型,使面中饱满、下巴不再过于凸出,改善凹面型。

上颌发育不足伴随下颌发育过度矫正后
和龅牙一样,地包天也分为轻度、中度和重度,轻度单纯正畸,中度地包天通过骨皮质切开,正畸的适应症扩大,正颌手术的比例下降,如此一来,地包天患者也只有少数重度案例需要做正颌手术。


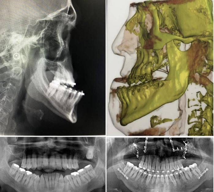
重度地包天案例,只能通过正颌手术矫正

重度地包天案例,只能通过正颌手术矫正
面中凹陷能够解决吗?
面中凹陷属于上颌发育不足,通过骨皮质切开+鼻基底骨增量手术,就能够解决轻度及中度的面中凹陷问题。
没下巴能够解决吗?
骨皮质切开术不能够解决下巴问题,需要通过颏成型手术或垫假体解决
骨皮质切开有副功能吗?牙会掉吗?恢复后会有异样感吗?有疤痕吗?
骨皮质切开有一定难度,操作不当会造成齿槽骨萎缩、牙齿松动,需要经验丰富的医生操作。告捷的骨皮质切开案例会使齿槽骨更加健康结实,牙齿是不会松动脱落的。恢复后没有异物感。在口腔内,粘膜切口会产生疤痕,骨皮质切开切口在牙龈处,牙龈是不产生疤痕的。
这是大手术吗?过程多久?痛苦吗?全麻还是局麻?
骨皮质切开是口腔门诊手术,不是大手术。手术1.5小时左右,局麻,术中没有明显痛苦。
做完手术能够立刻回家吗?需要住院输液吗?
做完手术能够立刻回家,常规不需要住院,如有需要也可申请住院观察。