
主编:罗恩
丛书总主编:石冰
副主编: 李宇、敬伟、 郑玮、刘人恺
ISBN:978-7-03-053171-1
定价:60.00元
扫一扫,轻松下单
精彩图文
01
什么叫“错牙合畸形”与“牙颌面畸形”?
在生长发育过程中,由先天的遗传因素或后天的环境因素等原因造成的如牙齿排列不齐、上下牙关系异常、颌骨大小形态位置异常等称为“错牙合畸形”。
(摘自“第一章 相关基本概念”)

错牙合畸形
“牙颌面畸形”是指颌骨生长发育异常所引起的颌骨形态畸形,以及上下颌骨之间及其与颅骨之间的位置关系错乱,由此带来的咬合关系及功能异常并伴有面部形态畸形。

牙颌面畸形
流行病学调查显示,约40%以上的人群存在错牙合畸形,其中约有5%是由于颌骨发育异常引起的骨性错牙合畸形,即牙颌面畸形。
对于错牙合畸形的治疗,最常见的方式是正畸治疗。而对于一些严重的骨性畸形例如反牙合(地包天)、不对称牙颌面畸形等,则需进行正畸与正颌手术的联合治疗。

正 畸-正颌联合治疗矫治不对称牙颌面畸形
2
什么是儿童错牙合畸形的早期矫治?
儿童错牙合畸形的早期矫治是在儿童生长发育的早期阶段,针对病因、机制及发生发展的过程,采取较为简单的正畸预防和治疗,去除可能的病因,治疗相关口腔疾病(如龋病、乳牙早失等);引导牙、牙列、颅面部正常生长,最终达到患儿牙颌面功能与美观的协调与平衡。
(摘自“第二章第一节 儿童牙牙合畸形”)

儿童错牙合畸形的早期矫治
3
正畸前需要做哪些检查,各有什么用?
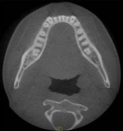
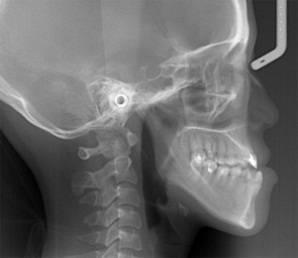
放射检查:一般包括X线头影测量片、曲面体层片和CBCT(锥束CT)。有时还包括其他放射检查,比如螺旋CT等。通过放射检查,医生能够看到骨骼及牙齿的形态、位置及发育状况,以及是否有牙体、根尖周、牙周疾病等,从而评估是否需要正畸治疗、进行何种治疗。
(摘自“第三章第一节正畸的基本知识”)

头影测量片(上)、曲面体层片(中)和锥束CT(下)
照相:包括口外像和口内像。这些照片不仅是医生诊断和制定矫治方案的重要依据,同时也是治疗前后进行对比的重要资料。

口外照像(上)和口内照像(下)
取模型:医生先在口中取阴模,然后用石膏灌注模型,还原牙列形态。石膏模型能够使医生直观地观察牙齿排列状况,从而制定矫治方案。同时,石膏模型也是进行治疗前后对比的重要依据。最新科技能够让我们采用口内扫描仪代替常规取模,或者在取模后通过模型扫描,获得数字化模型。

石膏模型(上)与数字化模型(下)
4
唇侧矫治器(牙套)是什么?有哪几种?有什么优缺点?
唇侧矫治器根据不同材料,主要分为金属矫治器和陶瓷矫治器;根据弓丝安放方式,又可分为自锁和非自锁矫治器两大类。金属非自锁矫治器最普通,每颗牙都需要通过结扎丝来固定弓丝,较显眼;而陶瓷非自锁矫治器较金属更为美观,但也需要结扎丝结扎;金属自锁矫治器能够通过矫治器上的“盖子”锁住弓丝,不需要结扎丝结扎,因而更舒适,医生操作更简便,排齐速度也略快;陶瓷自锁矫治器则较为美观,且不需要结扎丝结扎来固定弓丝,同时满足美观、舒适的特点。
(摘自“第三章第三节 牙套的选择”)

金属非自锁矫治器(左)与陶瓷非自锁矫治器(右)

金属自锁矫治器(左)与陶瓷自锁矫治器(右)
5
什么是计算机辅助正颌外科手术设计?
目前可使用软件将螺旋CT或锥束CT等影像学数据经计算机处理后,三维重建患者的颌骨形态,辅助牙颌面畸形的诊断,模拟手术截骨、移动、固定等,并制作相应的数字化导板辅助术中手术实施。同时因为计算机辅助手术设计能够更为直观的观察到术后颌骨的位置,更方便患者直观的了解手术效果,理解手术方案,便于医患沟通交流。
(摘自“第四章第三节 牙颌面畸形治疗计划”)

计算机辅助正颌外科手术设计
6
正颌手术术式-上颌 Lefort I 型骨切开术
Le Fort I 型骨切开术基本上是按照上颌骨Le Fort骨折分类的I型骨折线的走向切开上颌骨,使离断的上颌骨能够向三维方向移动,以矫治不同类型的上颌骨畸形。
适应证:①上颌前突(龅牙);②上颌后缩(地包天);③颌骨不对称畸形;④与其他手术配合,矫治复杂的牙颌面畸形。
(摘自“第四章第七节 正颌手术术式”)

Le Fort I 型骨切开术和颏成形术
7
隆鼻常用 假体 材料有哪些? 各 有何优缺点?
隆鼻材料有很多种。硅胶组织相容性好,质地似软骨,易于雕刻塑形,充填至鼻背后患者没有不适感,很少发生机体排异反应,是较理想的假体代用品。
膨体材料塑形容易,真实感较强,和组织有更加好的相容性,在隆鼻整形手术中有广泛的应用前景,但是价格较昂贵,且较易感染。
(摘自“第五章第二节 隆鼻术”)

硅橡胶材料(左)和自体软骨(右)
8
什么 叫 骨折切开复位内固定术?
面部骨折会导致容貌扭曲畸形,牙齿乱了也没法嚼东西。切开复位内固定术是颌面部骨折的标准手术方式,其中包含了三个词:切开、复位、内固定,下面分别解释。切开,就是切开皮肤或粘膜,直接看到骨骼进行手术,医生们有时也称之为“暴露”,暴露得好不好直接影响手术效果。复位的意思就是把移位的断骨放回到正常的位置,这个动作看似容易,实际上很多时候都存在难度。
(摘自“第六章第六节 颌面部骨折诊治”)

颌骨骨折切开复位内固定术与钛板钛钉
内容目录
第一章 相关 基本概念
第二章 牙和颌面畸形的早期矫治
儿童牙畸形、乳牙列错畸形、儿童牙畸形相关问题。
第三章 牙和颌面畸形的正畸治疗
正畸的基本知识、 特殊情况的正畸、牙套的选择、正畸的注意事项和可能的并发症、正畸-正颌联合治疗、正畸治疗中的常见问题、正畸治疗结束、复发及保持。
第四章 牙和颌面畸形的手术治疗
相关解剖结构、牙颌面畸形的诊断、牙颌面畸形治疗计划、正颌手术术前准备、正颌手术术后处置、正颌手术相关问题、正颌手术术式、牵张成骨、常见牙颌面畸形的治疗、牙颌面畸形相关疾病、正颌外科并发症。
第五章 颌面部整形美容
颌面整形美容基本知识、隆鼻术、隆颏术、“牙套脸”的治疗、露龈笑的治疗、正颌术后面部松弛凹陷的治疗。
第六章 颌面部外伤
面部外伤的特点、分类、治疗,牙及牙槽骨外伤,颌面部骨折诊治,术前术后相关问题,颌面部组织缺损和畸形整复手术。
内容简介
牙和颌面畸形是口腔颌面部最常见的疾病之一,主要表现为牙齿不齐、咬合紊乱、“*牙虎**”、“暴牙”、“地包天”、“歪脸”等。此类疾病由于发病广,涉及人群广泛,治疗方法多样,治疗周期长。
《牙和颌面畸形就医指南》内容涉及牙和颌面畸形早期治疗、正畸治疗、正颌手术治疗、牙和颌面畸形相关整形美容、外伤牙颌面畸形诊治等。
《牙和颌面畸形就医指南》由科学出版社出版,图文并茂,通俗易懂,既有专业知识的普及,又用科学严谨的态度解读患者最为关注的问题。给广大患者、家属和医疗工作者提供一本基于牙和颌面畸形治疗行家团队多年临床经验总结的、介于科普知识和专业论著之间的就医指南。

罗 恩 四川大学华西口腔医学院口腔颌面外科学系教授、博士生导师、系主任;国家临床重点专科口腔颌面外科主任,华西口腔医院一级行家;国际牙医师学院院士,中华口腔颌面外科专委会委员,四川省口腔颌面外科专委会副主任委员,四川省口腔医学专委会常委,四川省美容与整形专委会委员;教育部新世纪优秀人才、四川大学优秀青年学者。留学美国塔夫兹牙学院,美国哈佛大学合作研究,英国牛津大学专科研修;获教育部科技进步一等奖、教育部科技进步二等奖、中华口腔医学会科技进步一等奖各1项。临床医疗与科研工作:主要从事颌面部缺损及畸形的外科矫治、正颌外科及面部轮廓整形。
