最近,小编在医院看到一个小姑娘,眼角膜出现了溃疡,而导致溃疡的原因有很多,但是经过细菌涂片检查和结膜囊细菌培养发现是绿脓杆菌导致的,最后询问病史发现是经常使用一种劣质的化妆品,而这种化妆品是某些美容院自己做的化妆品,没有经过国家检疫,绿脓杆菌超标,可谓是害人不浅,下面小编要给大家讲解一下化妆品以及劣质化妆品的一些危害,大家需要谨慎。

-
劣质化妆品绿脓杆菌超标可能会危及生命
上述姑娘出现了绿脓杆菌性角膜溃疡,这是相对较好的,严重的一些人甚至出现败血症,脑膜炎等一些症状,这些症状严重都是危及生命的。

-
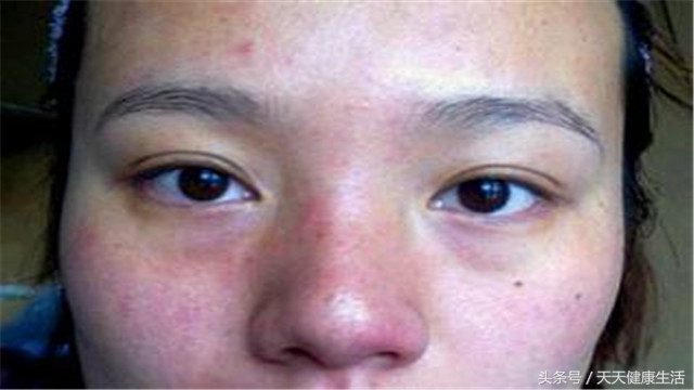
化妆品过敏应立即停用化妆品
并不是每个月使用化妆品都会出现过敏的情况,但是一旦出现过敏的时候,应该立即停用该化妆品,以免症状加重,如果发现过敏的症状有些严重,建议医院进行相关的治疗。

-
不明品牌的美白类化妆品不要使用(重金属超标)
化妆品想要美白,有可能是加入了汞重金属,当然一般情况下,正规的化妆品都是处于国家规定的安全值范围内,但是有些不明品牌的化妆品比如一些美容院自制的化妆品,没有经过相应的检测,但是美白效果却特别好,前往别用,可能存在重金属超标,用多了不仅会重金属中毒,还会毁容。

-
某些劣质化妆品存在光毒性物质
某些化妆品中含有对光敏感的物质,在被紫外线照射之后,产生毒性,对皮肤造成毒害功能,症状轻的出现丘疹之类的症状,症状严重的会出现皮肤溃烂。

-
某些劣质导致皮肤毛囊堵塞产生*疮痤**
皮肤清洁不到位,或者经常使用劣质的化妆品,会导致我们的毛囊出现机械系的堵塞,长期下去给某些病菌提供繁殖的环境,最好出现*疮痤**之类的情况。

【劣质化妆品还有许多危害,小编就不一一阐述了,希望大家以后需要对这种化妆品抱有谨慎态度】