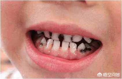
世界卫生组织以12岁儿童平均龋齿数作为评判各个国家龋病流行程度的指标,规定1.2颗以下为龋病流行很低的水平,中国的儿童平均患龋率为0.86颗。近年来儿童患龋率呈现上升态势;第四次全国口腔健康流行病学调查结果显示:我国5岁儿童的乳牙患龋率为66%, 12岁儿童的恒牙患龋率达到29%,均处于世界较高水平。那么问题来了,为什么社会发展了人们对口腔健康重视了反而儿童的患龋率日益攀升?

究其原因有以下几条:
一、口腔卫生情况差:宝宝出生后六个月至两岁半全部乳牙萌出完毕,此时家长就要对宝宝做刷牙的指导和帮助。由于幼儿期宝宝饮食习惯精细化以及食物含糖量高、加上没有刷牙的意识,牙齿上的食物残留就会滋生细菌形成菌斑吸附在牙齿上,借助温暖湿润的口腔环境引起牙釉质的脱矿、溶解形成乳牙龋病。还有一部分宝宝长期使用奶瓶甚至含奶瓶睡觉,久而久之形成奶瓶龋。

二、嗜食高含糖量以及奶制品:几乎所有的宝宝和儿童都喜欢吃甜食以及奶制品,由于以前的优育优生国策导致家长对独生孩子尤其疼爱有加,只要孩子想吃的东西都会不加限制。大量含高糖量的食物残留在口腔内如果不及时清除,就会导致食物残渣发酵、产酸,把牙齿酸蚀形成龋齿。

三、牙齿发育异常:发育正常的牙齿表面含有大量的氟化物及矿物质会产生一定的抗龋能力。乳牙的发育是在胚胎期,恒牙的发育是在出生后。如果宝宝在出生前后出现营养障碍会导致氟、钙等微量元素的缺乏从而影响牙齿的发育和钙化,极大的增加了患龋的概率。

龋齿的预防:
在幼儿期家长要指导和帮助宝宝养成刷牙的习惯,使用可吞咽的儿童牙膏以及护牙素,从三岁开始每半年涂氟一次,涂氟能够有效的预防龋齿,有含奶瓶睡觉效果的予以改正。
六岁后萌出第一颗恒牙,六龄齿(第一磨牙),此时要及时做六龄齿的窝沟封闭:把牙齿的窝沟点隙处用专用的封闭剂封闭好,因为龋齿的发生通常发生在窝沟点隙等食物残渣存留处。
尽量少吃高糖量高的食物,避免食物的过于精细化,多吃一些蔬菜、水果、瘦肉等粗纤维的食物。因为粗纤维食物会有效去除牙齿上的菌斑。

龋齿的治疗:
龋病治疗的目的在于终止病变过程,恢复牙齿的固有形态和功能。对一些龋坏仅在牙齿表面的能够局部涂抹氨硝酸银或氟化钠抑制龋坏的进展。
对已经形成龋洞或露髓并未引起牙髓炎症的施以盖髓剂保护牙髓,并用释放氟的充填材料充填,恒牙有条件的能够做瓷嵌体。
如果龋洞已经引起牙髓炎或根尖周炎,那么就需要对患龋的牙齿做一个完善的根管治疗,对牙根尚未发育完全的先行根尖诱导成形术。

如果我的回答对您有帮助;请动动您的小手点赞、转发。如您以后想多了解更详细的口腔信息;请点关注!