来源:北京禁毒
在电影《湄公河行动》中,大反派糯卡以及儿子和下属们都是一口又黄又烂的牙齿,从这个细节就能够看出,影片的编剧确实用了心。而这个设定是有现实依据的,长期吸毒(特别是*毒冰**)的人牙齿都存在此类问题。

在一些刚接触*毒冰**不久的吸毒者看来,*毒冰**无非就是让人精神极度亢奋,没有别人说的那么恐怖啊!诚然,*毒冰**是一种化学合成的兴奋剂,在初期确实看不到很明显的问题,但是长期吸食,有一些后果是让人毛骨悚然,例如一口烂“*毒冰**牙”。

根据《中国药物依赖性杂志》一文,上海市第二劳动教养管理所对在所劳教人员进行问卷调查及走访,调查显示,牙齿脱落的有182例,占调查总人数的36.79%,其中牙齿脱落1-3颗的135例(占有牙齿脱落总数的74.2%),脱落4颗以上的45例(33.3%),口腔内仅剩1-2颗的就有2例(1.1%)。
人体中99%的体钙存在于骨骼和牙齿中,这部分钙与骨质疏松关系最为密切。长期滥用*品毒**可使内源性钙和尿钙丢失,加速负钙平衡,并增加人体对于钙的需要量,因此容易发生骨质疏松。
*品毒**可对口腔粘膜和牙齿造成多重损害,*品毒**直接刺激上呼吸道粘膜形成粘膜的溃疡,造成口腔内菌群失调,出现牙龈出血等严重的炎症,进而牙龈萎缩、牙齿松动,严重影响咀嚼功能。

吸毒刺激口腔黏膜上皮细胞异常增生,导致黏膜角质角质层逐渐增厚,对骨骼系统、免疫系统都造成危害,导致牙周病发生几率特别高,增加口腔感染的风险,长期刺激口腔黏膜还会增加罹患口腔癌的机会。
吸毒也会造成口气重,影响交际,造成牙根暴露、牙齿松动等慢性炎症,抑制免疫功能!
为什么会产生“*毒冰**牙”?
首先*毒冰**本身具有大量酸类成分(蓄电池酸,肥料和家用清洁剂)会损坏牙齿,而吸食*毒冰**后会产生强烈的亢奋效果,且一般*毒冰**药效长达12小时左右,在此期间使用者会渴望吃甜食(如碳酸饮料和糖果)也会造成牙齿磨损。*毒冰**成瘾者因为心瘾以及内心的情绪失常,会造成神经紧张产生磨牙等行为,造成牙齿的过度磨耗。

吸毒者神经过度紧张、情绪失常、不注意个人卫生,可能会好几天都不注意牙齿清洁,从而引发牙周病等。“*毒冰**牙”的产生主要还是和*毒冰**本身有很大的关系,其它的的原因只是起到了“辅助”功能。
“*毒冰**牙”的症状
1、干口症——唾液作为缓冲液,能够稀释我们饮食中的酸类。正常人一天分泌大约1升的唾液。*毒冰**让人唾液腺枯竭,当唾液分泌量减少的时候,口腔内的细菌数量就会增加,加倍损坏牙釉质。

2.牙隐裂——*毒冰**会使服用者感到焦虑、亢奋或紧张,从而导致磨牙。你能看到他们的牙齿上有明显的磨耗痕迹。有时候就算是吃一些很软的食物(如土豆泥),也会使服用者的牙齿出现隐裂。

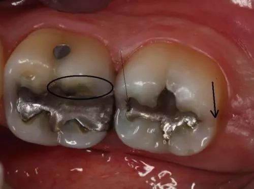
3.龋齿——*毒冰**成瘾者会因为口干反应而渴望吃含糖量高的食物和饮品。这样,口腔内靠糖类为生的细菌会大量繁殖,并分泌酸性物质,使牙齿损坏更严重。*毒冰**服用者的龋齿通常会从牙龈边缘发展到整个牙齿,前牙首当其冲。

4.牙周病——*毒冰**成瘾者通常不会定期做口腔检查,口腔保健的缺乏会引发牙周病。同时,牙齿和牙龈都需要血液来保持健康,*毒冰**使口腔组织的血管收缩,血流量减少,最终导致口腔组织坏死。

5.伤口———用吸烟的方式吸入*毒冰**的人,会在嘴唇、牙龈、内颊侧或硬腭等处出现伤口或者烧伤痕迹;用鼻子吸入*毒冰**的人,会在咽喉后部出现烧伤痕迹。*毒冰**的滥用会降低人抵御感染的能力和伤口自愈的能力。

*毒冰**牙什么样?
*毒冰**牙的第一阶段:
1.吸毒者出现龋齿。
2.吸毒者出现口臭。
3.吸毒者牙龈红肿。
*毒冰**牙的第二阶段:
1.吸毒者嘴唇上出现伤口。
2.吸毒者牙龈开始退缩
3.吸毒者龋齿呈严重趋势。
*毒冰**牙的第三阶段:
1.吸毒者龋齿发展到牙龈边缘以下。
2.吸毒者牙齿出现缺失。
3.吸毒者嘴唇的伤口越发明显。

化学合成*品毒**都有一定的腐蚀性,“*毒冰**牙”只是最直观的外伤,吸毒对大脑中枢神经以及呼吸、消化系统的伤害也同样触目惊心。珍重生命,远离*品毒**真不是一句空洞的宣传口号,而是对自己人生的负责。
长按二维码,或搜索微信号huangpujindu
关注“黄浦禁毒”微信平台